В МЦ «Астхик» сотрудничестве с благотворительным фондом «Вива» внедряют новый метод удаления аденом гипофиза
Аденома гипофиза – это доброкачественное новообразование, которое может крайне негативно сказываться на качестве жизни, вызывая нарушения со стороны эндокринной системы, а также нарушения зрения.
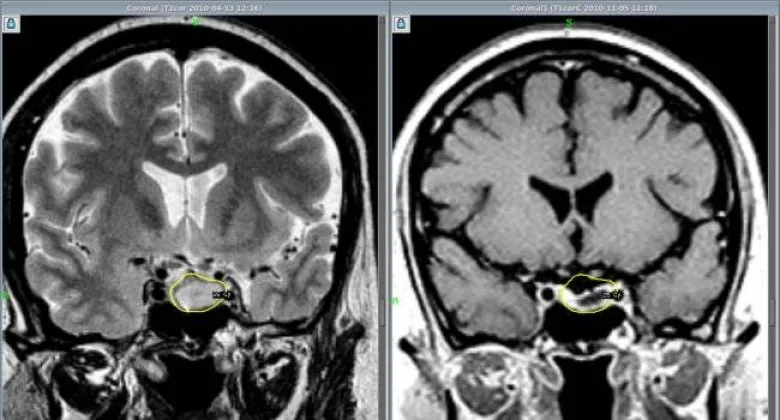
До недавних пор такие новообразования в МЦ «Астхик» удаляли с применением хирургического микроскопа. Теперь в медцентре внедряют и другой метод удаления аденом гипофиза – с помощью эндоскопа. Этот метод до недавних пор в Армении не применялся, и обучать ему специалистов в рамках одного из проектов благотворительного фонда «Вива» будет известный нейрохирург Вилен Азизян (Россия). В медицинском центре «Астхик» он уже провел три операции по удалению аденом гипофиза. Ассистировали ему армянские специалисты, которые в дальнейшем научатся проводить такие операции самостоятельно.
Аветис Киракосян, руководитель отделения нейрохирургии МЦ «Астхик», рассказал журналистам о том, что для внедрения эндоскопического метода удаления опухолей гипофиза был выбран медцентр «Астхик», так как материально-техническая база центра соответствует всем требованиям к проведению этих операций. Специалист уверен, что если в центре будут применяться оба метода, это поможет достигать более значительных результатов.
«В зарубежных медицинских центрах, где я проходил переподготовку, совмещают микроскопический и эндоскопический методы. После работы микроскопом проводят ревизию операционной области с помощью эндоскопа – без лишних разрезов через нос пациента вводят эндоскоп с камерой, осматривают область, иногда можно бывает обнаружить небольшие куски, которые остались вне поля зрения микроскопа, а эндоскоп может обеспечить более широкое поле зрения», - объяснил специалист.
По его словам, эндоскопическое удаление аденом гипофиза считается менее травматичным и менее инвазивным, чем микроскопическое удаление. Так или иначе, некоторым пациентам может потребоваться один из методов, некоторым – сразу оба, поэтому будет большим плюсом, если хирург будет одинаково хорошо владеть обоими методами.
Это далеко не первый проект, проводимый в Армении благотворительным фондом «Вива» (Врачи и волонтеры Армении). Татьяна Оганесян, председатель фонда, рассказала журналистам, что фонд был основан в 2016 году, с целью оказать помощь Арцаху и регионам Армении.
За пять лет фонд оснащал медицинским оборудованием госпитали и больницы страны, организовал образовательные программы и стажировки докторов. Многие врачи – члены фонда – регулярно приезжают в Армению, помогая и обучая коллег, проводя операции, помогая организовать реабилитацию раненых во время войны в Арцахе.
Как в свою очередь отметил попечитель фонда «Вива Георгий» Мелконян, главный врач 4 городской больницы Москвы, фонд проводит большую работу по обучению специалистов, чтобы врачи в Армении, овладевая новыми техниками и методами лечения, могли самостоятельно применять их в работе с пациентами и оказывать высококачественную помощь, не нуждаясь в помощи зарубежных коллег.
В дни войны в Арцахе 26 врачей фонда работали в разных полевых госпиталях – в Гадруте, Степанакерте, Мартуни, Мартакерте, Горисе, Мегри, Капане. В их числе были торакальные и сосудистые хирурги, реаниматологи, медсестры, и работали они на протяжении всей войны, сменяя друг друга.
Также во время войны фонд оказал материальную помощь в размере 2 млн долларов, 38 больниц получили медицинское оборудование.
В настоящее время фонд насчитается уже более 5000 членов, в числе которых более 700 врачей.




















При поддержке Ucom в Вагаршапате состоялся региональный молодежный форум «ДемАрДем: Диалог поколений...
Международная конференция FINTECH360 соберет в Ереване 500 участников
The Hill: свыше ста миллионов американцев уверены, что застанут апокалипсис
МИД Ирана: Зеленский пытается обобрать страны Ближнего Востока
Снова активизируют сквернословие, злобу и ненависть: «Паст»
Представители омбудсмена встретились с задержанными после инцидента в Ереване
Безопасная среда - ровные возможности
Десантные операции и сценарии возможного захвата иранских островов в персидском заливе
Армянская церковь под давлением. Армяне обращаются во Всемирный совет церквей
Существует желание не допустить, чтобы «Арарат-Армения» стала чемпионом: «Паст»